 |
 |
 |
 |
 |
 |
 |
 |
 |
 |

▲携帯でもご覧になれます。
クリックで電話できます。
|
|
|
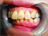
症例1:20代女性
口元が出っ張って見えていましたが、口元がスッキリしシャープになりました。
症例の一部です。すべての患者さんの歯の状態、状況がそれぞれ異なります。詳しいご説明は、診察をさせていただいた上で、口頭でお話をさせて頂きます。
症例2:20代女性(治療途中)
前歯がかなり前に出ていましたが、改善されています。
症例の一部です。すべての患者さんの歯の状態、状況がそれぞれ異なります。詳しいご説明は、診察をさせていただいた上で、口頭でお話をさせて頂きます。
症例3:40代女性(治療途中)
前歯の歪みと出っ張りがありましたが、改善されています。
症例の一部です。すべての患者さんの歯の状態、状況がそれぞれ異なります。詳しいご説明は、診察をさせていただいた上で、口頭でお話をさせて頂きます。
|
|